day
,
00
/
month
/
0000
Tiếng Việt
English
Thứ Tư, 10/12/2025, 03:31 (GMT+7)
Với đội ngũ cán bộ y tế trình độ cao, luôn tâm huyết, hết lòng vì người bệnh, sẵn sàng cập nhật những phác đồ điều trị tiên tiến hàng đầu trên thế giới, đồng hành cùng người bệnh trên hành trình đối mặt và vượt qua căn bệnh ung thư, Trung tâm Ung bướu – Bệnh viện Đa khoa tỉnh Phú Thọ đã trở thành điểm tựa tin cậy của người bệnh trên hành trình chiến thắng bệnh ung thư.
Người bệnh N.V.T trú tại phường An Tường, tỉnh Tuyên Quang được chẩn đoán mắc ung thư phổi. Sau khi được BSCKII Trần Xuân Vĩnh – Phó Giám đốc Trung tâm Ung bướu, Trưởng khoa Hóa trị trực tiếp khám, tư vấn, người bệnh và gia đình đã quyết định tin tưởng điều trị tại Bệnh viện Đa khoa tỉnh Phú Thọ.
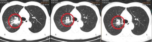
Người bệnh nhập viện trong tình trạng ho nhiều, đau tức ngực. Hình ảnh CT phổi cho thấy u thùy trên phổi phải, nhiều nốt vệ tinh phổi phải và trái, hạch trung thất phải ~1-1,5cm, PET CT hình ảnh bắt FDG tương tự. Dựa vào kết quả xét nghiệm gen của người bệnh có chỉ số phù hợp với miễn dịch, bác sĩ đã đưa ra phác đồ điều trị kết hợp hai liệu pháp hóa trị và miễn dịch.
Sau chu kỳ điều trị đầu tiên, người bệnh có nhiều cải thiện lâm sàng, hết đau, không khó thở và không phải dùng đến thuốc giảm đau. Quá trình điều trị, người bệnh đáp ứng với thuốc tốt, hệ miễn dịch cơ thể tăng, người bệnh trở lại sinh hoạt gần như bình thường. Tiếp tục điều trị các chu kỳ tiếp theo, người bệnh dung nạp thuốc tốt và không gặp phải độc tính, tác dụng phụ của thuốc. Kết quả CT phổi cho thấy khối u phổi đã giảm kích thước đáng kể.
Hình ảnh phim chụp CT phổi cho thấy kích thước khối u của người bệnh đã giảm dần sau các chu kỳ điều trị
Với những kết quả thành công sau quá trình điều trị, người bệnh N.V.T phấn khởi cho biết: Nhờ có sự đồng hành từ gia đình và sự quan tâm của đội ngũ bác sĩ tại Khoa Hóa trị - Trung tâm Ung bướu - Bệnh viện Đa khoa tỉnh Phú Thọ tôi đã vượt qua giai đoạn khủng hoảng, yên tâm chữa bệnh. Tôi đã trải qua 9 chu kỳ điều trị, giờ đây sức khỏe của tôi đã ổn định, tinh thần rất thoải mái, mọi sinh hoạt trong cuộc sống cũng trở lại bình thường.
BSCKII Trần Xuân Vĩnh thăm khám cho người bệnh
Câu chuyện của người bệnh N.V.T là minh chứng cho thấy rằng ung thư không đồng nghĩa với tuyệt vọng mà là một hành trình của sự kiên trì, đồng hành hỗ trợ từ cả người bệnh, người nhà người bệnh và đội ngũ cán bộ y tế. Việc kết hợp giữa niềm tin, tinh thần lạc quan và sự tuân thủ trong quá trình điều trị với đội ngũ cán bộ, nhân viên y tế tận tâm và hệ thống trang thiết bị tiên tiến, phương pháp điều trị hiện đại sẽ mang lại hy vọng và kết quả tốt hơn.
Theo BSCKII Trần Xuân Vĩnh - Phó Giám đốc Trung tâm Ung bướu - Trưởng khoa Hóa trị, điều trị ung thư phổi hiện nay đã có những bước tiến vượt bậc nhờ phương pháp phối hợp đa mô thức. Trong khi phương pháp điều trị miễn dịch sử dụng chính hệ miễn dịch của cơ thể để tiêu diệt tế bào ung thư thì hóa trị đóng vai trò quan trọng giúp ức chế sự phát triển và lan rộng của tế bào ung thư. Sự phối hợp nhịp nhàng giữa hai phương pháp này trong cùng một quá trình điều trị đã tạo nên hiệu quả cộng hưởng, đem lại kết quả điều trị tốt hơn cho người bệnh, thời gian đáp ứng dài hơn, sâu hơn và ít xuất hiện độc tính khi điều trị trong thời gian dài, giúp người bệnh kiểm soát triệu chứng và duy trì chất lượng cuộc sống.
Với đội ngũ bác sĩ ung bướu và điều dưỡng được đào tạo chuyên sâu, Khoa Hóa trị - Trung tâm Ung bướu - Bệnh viện Đa khoa tỉnh Phú Thọ đáp ứng đầy đủ các yêu cầu về điều trị hóa trị, điều trị đích, miễn dịch, nội tiết và chăm sóc hỗ trợ toàn diện cho người bệnh ung thư ở mọi giai đoạn. Cùng với đó, hệ thống phác đồ điều trị được cá thể hóa, sự kết hợp linh hoạt giữa các liệu pháp và việc ứng dụng hiệu quả công nghệ xét nghiệm gen cùng trí tuệ nhân tạo (AI) đã mang lại những kết quả vượt bậc trong công tác điều trị ung thư tại Khoa Hóa trị trong nhiều năm qua.
Đây là minh chứng rõ nét cho năng lực chuyên môn, hệ thống kiểm soát chất lượng và tính tuân thủ quy trình quốc tế của đơn vị, góp phần khẳng định vị thế của Khoa Hóa trị nói riêng, Trung tâm Ung bướu nói chung trong điều trị ung thư tại tỉnh Phú Thọ và khu vực Trung du miền núi phía Bắc.
Trung tâm Khuyến nông triển khai mô hình phát triển chuỗi sản xuất
Phẫu thuật miễn phí cho trẻ em khuyết tật tại Bệnh viện Sản nhi tỉnh Phú Thọ
Xây dựng Bệnh viện Đa khoa tỉnh Phú Thọ trở thành hạng đặc biệt, đảm nhận chức năng vùng
Chương trình Phẫu thuật miễn phí cho trẻ em khuyết tật trên địa bàn tỉnh Phú Thọ
Thành công loại bỏ polyp đại tràng “kích thước lớn” cho bệnh nhi 13 tuổi với sự phối hợp của chuyên gia nội soi
Bệnh viện Sản Nhi tỉnh Phú Thọ gắp thành công chiếc kẹp tóc mắc trong thực quản của bé gái 5 tuổi
Phát triển nguyên liệu điều trị nấm Candida trong thú y
Phát triển kinh tế báo chí trong chuyển đổi số
Bệnh viện Sản Nhi tỉnh Phú Thọ cấp cứu thành công bé trai 4 tuổi bị đuối nước
Hy hữu: Người bệnh cùng lúc bị sỏi mật gây tắc ống mật và giun trong đường mật